선선해진 가을! 등산 가야 하는데... 이번엔 무릎이 말썽이에요!
페이지 정보
본문
안녕하세요~ 순천하나병원입니다~^.^
쾌청한 가을 날씨가 지속되면서 등산을 하는 사람들이 많아졌는데요.
산행의 계절이 돌아오면서 무릎 통증을 호소하는 사람이 많아졌습니다.
산을 다녀온 다음 무릎이 걸리거나 삐걱거리는 느낌이 있을 땐
단순히 무리해서 그러려니 하고 넘기기 쉽습니다.
무릎은 지나치게 사용하면 부담을 줄 수 있는데요.
오늘은 이런 '무릎 관절염' 에 대해 알아 보려 합니다~!
무릎 관절염
무릎 관절에 영향을 미칠 수 있는 관절염은 세 가지 기본 유형이 있습니다.
(1) 퇴행성 관절염
골관절염(OA)는 무릎 관절염의 가장 일반적인 형태로 관절 연골이 점차 마모되어
천천히 진행되는 퇴행성 질환이며 대부분 중년 및 노년층에 흔히 나타나게 됩니다.
(2) 류마티스 관절염
류마티스 관절염(RA)은 자가면역항체가 자기 관절을 공격하여 관절 연골을 파괴하는
염증성 관절염의 유형으로 주로 30대 중년 여성에서 잘 발생하는 관절염입니다.
류마티스 관절염는 일반적으로 양측 무릎 관절에 발생하며 또한 다른 관절에도 동반합니다(손, 손목).
(3) 외상 후 퇴행성 관절염
외상 후 관절염은 무릎 부상 이후에 발생하는 관절염으로 골관절염과 유사한 양상을 보이지만
골절, 인대 손상 혹은 반월상 연골 손상 후 수년 후에 발생하게 되는 관절염입니다.
증상
증상은 갑자기 발생할 수도 있지만 일반적으로 관절염의 통증은 점진적으로 발생하게 되며 강직되고
부기가 생겨 무릎 관절을 굴곡하는데 많은 어려움이 나타나게 됩니다. 퇴행성 관절염의 통증은 활동 후에
증가하는 양상이기에 잠잘 때 아프게 되는 특징이 있습니다. 즉 걷거나 뛸 때 심해지며 안정 시에는
완화되는 양상입니다. 그러나 류마티스 관절염은 다발성 관절염으로 통증이 여러 관절에 나타나며
활액막염이 동반되어 많이 붇고 또한 아침에 손가락들의 강직이 특징으로 하는 관절염입니다.
날씨도 기압 차이로 인해 춥거나 비가오면 관절염의 통증에 영향이 있을 수 있습니다.
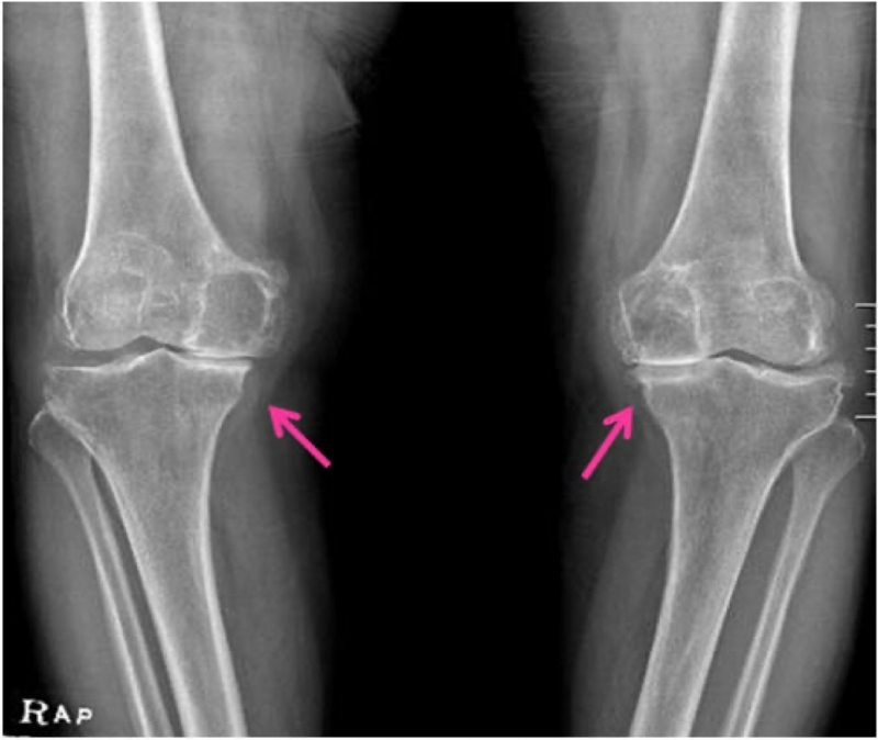
의사의 검진
무릎의 부기나 동통, 운동범위 및 걷는 모습 등에 초점을 맞추어서 신체검진을 시행하게 되며
X-선 검사는 관절염이 있는 무릎에서 대부분의 경우 관절간격의 감소를 관찰할 수 있습니다.
피 검사나 MRI 같은 정밀 검사를 통해 류마티스 관절염을 배제하게 됩니다.
보존적 치료
치료의 목적은 통증을 줄이고 기능을 향상시키는데 있습니다.
무릎의 관절염의 초기 단계의 경우 보존적 치료를 시행하게 되며
보존적 치료 방법은 약 4가지 방법으로 나뉘게 되며 다음과 같습니다.
1) 생활 습관 변경
체중 감소시키고, 달리기 운동이나, 무릎 악화시키는 운동은 피하는 등 생활 습관의 변경이 필요합니다.
단순한 체중 감소만으로도 관절의 부하가 상당히 감소되어 통증을 줄일 수 있고, 평지 걷기 등으로
그 기능을 향상시켜야 합니다.
2) 운동
운동은 하지의 근력을 강화시킬 뿐 아니라 관절 운동 범위를 증가시키고 관절의 유연성을 향상시킵니다.
물리 치료와 재활 운동은 통증을 경감시키고 관절의 기능을 향상시키게 됩니다.
3) 보조기
무릎 보호대나 충격흡수신발 혹은 지팡이 같은 같은 보조 기기들은 도움이 됩니다.
최근에는 한쪽 관절 중앙에 생긴 관절염에 보조기가 도움이 된다는 연구 보고도 있었습니다.
보조기는 무릎의 안정성을 도와주고 기능을 보조해주는 역할을 합니다.
4) 기타 방법
온찜질 혹은 냉찜질, 물에서의 운동, 압박 붕대 등이 있습니다.
5) 약물 치료
무릎 관절염의 치료에 사용되는 약물은 여러 종류가 있지만 모든 사람이 약물에 대한 반응이 다르기 때문에
모두 다른 약이 처방되게 됩니다. 글루코사민 또는 콘드로이틴 황산들은 관절염 초기에 사용되는 약물이며
자연 성분으로 만들어 졌기에 종종 보조식품으로 분류가 되기도 합니다.
그러나 두통, 복부가 졸도, 메스꺼움, 구토, 피부 반응과 같은 부작용이 보일 수 있습니다.
이러한 보충제는 다른 약물과 상호 작용할 수 있으므로 처방 받을 시 복용하는 약물이 있는 경우
정보를 제공해야 합니다. 단순 진통제(아스피린, 타이레놀)가 일반적인 관절염의 일차적인 약물입니다.
시간이 지남에 따라 사용하는 약물에 대해 신체에서 내성이 생겨서 통증 완화 효과가 줄어들게 됩니다.
어떤 약물을 새롭게 복용하는 경우 기존에 복용하는 약물과 상호작용이 일어날 수 있음에 유의하고 의사와 상의를 하여야 합니다.
단순 진통제보다 조금 더 효과적인 약물이 비스테로이드성 항소염제(NSAID)라고 하며 다른 모든 진통제와 마찬가지로
신장과 간에 영향을 주는 부작용이 있으며 위장장애를 일으킬 수 있습니다. 그러나 이 효과들은 약물 복용을 멈췄을 때
가역반응을 보여줍니다. 스테로이드가 관절에 주입할 수 있는 강력한 항소염제 입니다. 이들은 극심한 통증이 있는 경우
관절 내로 주사하여 사용하게 됩니다. 무릎이 염증으로 인해 심하게 부어 있다면 매우 효과적이나 관절염으로 인해
무릎의 역학적 변화에는 효과가 없습니다. 이런 스테로이드들은 인체의 부신에서 생산되는 호르몬의 하나이며
염증 감소와 통증 감소에 효과적인 호르몬들입니다. 그러나 한번 투약으로 장시간 지속되지는 않으며
1년에 4회 이상 주사는 권장하지 않습니다. 반복적으로 오랜 기간 동안 주사를 맞은 경우 관절 손상을 오히려 악화시킬 수 있습니다.
히알루론산이 포함된 윤활제는 관절액의 질을 높이기 위해 퇴행성 관절염이 있는 경우에 관절 내로 주사하면 효과적인 것으로 알려져 있습니다.
대체 요법은 침술과 마그네틱 펄스 요법 등이 있지만 그 치료 효과에 대해 밝혀진 바가 없습니다.
수술적 치료
보존적 치료에 반응하지 않는 관절염인 경우 수술적 치료가 불가피하게 됩니다.
수술적 방법으로는 다음과 같습니다
관절 내시경적 수술로 파열된 연골이나 조각을 제거해주는 방법입니다.
근위 경골 절골술을 시행하여 무릎의 정렬을 이동시켜주는 방법입니다
인공관절 치환술(부분 혹은 전체)로 손상된 관절을 플라스틱과 금속으로 대체하는 방법입니다.
외상이나 관절염으로 인해 부분적 연골 손상이 있는 경우에 관절연골 이식술을 시행할 수 있습니다.
줄기세포 치료술
이러한 치료법 중에 퇴행성 관절염에서 많이 사용하는 방법은 경골 절골술이나 인공관절 치환술을 주로 시행하고 있습니다.
현재 전세계의 정형외과 의사들은 지속적으로 무릎 관절염을 치료할 수 있는 방법에 대해 연구 중입니다.
최근에는 새로운 치료에 관심이 집중 되어 있으며 관절연골 이식 혹은 줄기세포 치료법의 연구를 진행하고 있습니다.
그러나 현실적으로 아직 퇴행성 관절염에서 관절연골이식술이나 줄기세포 치료법은 뚜렷한 성과를 보이지 않고 있습니다.
이제 '무릎 관절염' 에 대해 아셨으니 무릎 통증으로 고생하시지 마시고
꼭! 저희 순천하나병원 에서 정확한 진단과 편안한 진료 받으시길 바랍니다.
- 이전글윽~! 자꾸 잡게 되는 뒷목.. 이거 혹시 목디스크?! 22.11.24
- 다음글선선해진 가을! 울긋불긋 단풍 구경 가야 하는데... 발목이 말썽이에요! 22.09.26
댓글목록
등록된 댓글이 없습니다.






