SUNCHEON HANA
정형외과
고관절
SUNCHEON HANA
-
정을오 원장
-
안현욱 원장
-
김민광 원장
고관절 질환
고관절이란?
고관절은 골반의 관골구와 대퇴골의 대퇴골두를 연결하는 관절입니다. 골반과 다리가 만나는 지점에 위치하고 있으며,
고관절은 하지를 이루는 부분 중 하나입니다.
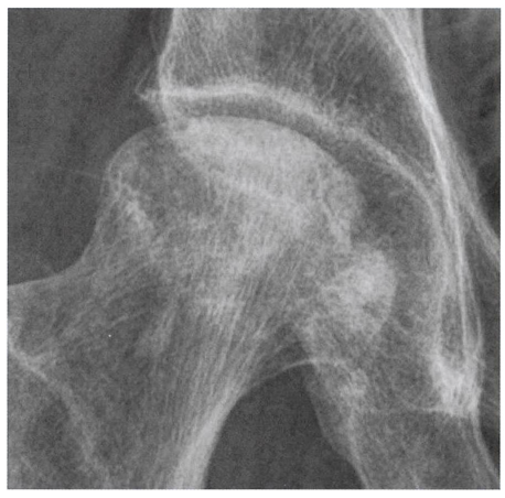
1. 고관절 대퇴골두 무혈성 괴사
대퇴골두 무혈성 괴사는 대퇴골두의 순환장애로 인하여 골이 괴사되어 발생되는 질병으로
대개 30대에서 50대에 이르는 젊은층에 많이 발생하고 한번 발생하면 대부분 점차 진행하여
결국 고관절이 파괴되어 고관절 기능을 잃게 됩니다. 특히 우리 나라에서는 성인 고관절 환자중
대퇴골두 무혈성 괴사증이 가장 많은 빈도를 가지고 있어 이 질환에 대한 이해 및 치료가 매우 강조되고 있습니다.
미국에서는 인공고관절 치환 환자 중 대퇴 골두 무혈성 괴사증의 비율이 약 5% 내지 12%정도 되나
우리나라에서는 약 60%에서 90%까지로 대퇴골두 무혈성 괴사증이 가장 많은 빈도를 차지하고 있습니다.
원인
과다한 음주
스테로이드 (부신 피질 호르몬) 투여
고관절 부위 외상
잠수병(Caisson's disease), 겸상 적혈구증(sickle cell disease)등
증상
대개 서혜부, 둔부(엉덩이), 대퇴부, 슬관절(무릎관절) 등에 동통이 있으며,
관절 운동의 제한이 관찰되며 특히 외전과 내회전의 제한이 심하다.
또한 한쪽에 대퇴골두 무혈관성 괴사가 있는 경우 50-80%에서 양측성으로 발생하기 때문에
반드시 반대편에 대해서도 대퇴골두 무혈성 괴사에 대한 검사를 해야 한다.
2. 고관절 관절염
무릎 퇴행성 관절염의 주 원인은 연령증가에 따른 생물학적 노화이지만 고관절 퇴행성 관절염은
다른 원인으로 발생하는 경우가 많습니다. 외상이나 선행 질환에 의해 이차적인 해부학적 변형으로 발생할 수 있습니다.
증상
아침에 일어났을 때 사타구니, 엉덩이, 대퇴부 등에 불편감, 뻑뻑한 느낌이 들기도 하고 활동 시 통증이 발생하다가,
휴식을 취하면 호전되는 양상을 보일 수도 있습니다.
적절한 치료를 받지 않을 경우, 휴식을 취하더라도 통증이 호전되지 않는 상태까지 악화될 수 있습니다.
방사선 소견
관절 간격이 좁아지고 연골하 경화, 골극형성 등
퇴행성 관절염의 특징적 소견이 모두 나타납니다.
치료
고관절 대퇴골두 무혈성 괴사와 고관절 관절염에서 통증 조절등의 보존적 치료가 실패하거나 병이 진행되어
일상생활이 불편할 정도로 통증이 심한 경우에는 다음과 같이 인공관절 전 치환술을 시행하게 됩니다.
인공관절의 수명?
최근 연구에 따르면 고관절 인공관절 전 치환술의 경우 수술 후 15년 (89·4%), 20년 (70·2%), 25년 (57·9%),
재 치환술 없이 지속되는 것으로 알려진 바 있습니다. 실제로는 50세 환자의 총 고관절 치환술의 재치환술을 받을 위험은
29%로 추정되지만 70세 환자의 경우 5%에 불과합니다.
그러나 환자의 기저 질환 및 합병증 발생 유무 등에 따라 수명은 짧아질 수도 있고,
근력 운동 등 관리를 잘 한다면 더 오래 쓸 수도 있습니다.
(참고문헌 : 2019 Lancet Survival of total hip replacements.)
3. 고관절 골절
고관절 골절은 대부분 넘어지면서 발생합니다. 젊은 연령에서는 추락이나 교통사고 같은 외상에 의한 것이 대부분이고,
고령의 환자에서는 골다공증으로 인해 골질이 약화되어 있는 경우가 많아 단순 낙상 같은 손상에 의해 발생합니다.
손상기전과 수상 부위에 따라 여러가지 치료법이 제시될 수 있습니다.
자세한 내용은 전문가와 상의하기 바랍니다.






